Cabinet des Docteurs Loïc CALVO, Paul GAMBINI et Baptiste BONAMY
Parodontologie exclusive - Implantologie et Maintenance implantaire
+33 5 32 09 76 76
14 Avenue José Cabanis - Bâtiment Odyssée, 31130 QUINT-FONSEGRIVES
Cabinet des Docteurs Loïc CALVO, Paul GAMBINI et Baptiste BONAMY
Parodontologie exclusive - Implantologie et Maintenance implantaire

Blog - Page 6

CV DU DR LOIC CALVO A QUINT-FONSEGRIVES, PROCHE DE TOULOUSE ET BALMA

CV DU DR LOIC CALVO A QUINT-FONSEGRIVES, PROCHE DE TOULOUSE ET BALMA

CV du Dr Loic Calvo à Quint-Fonsegrives, proche de Toulouse et Balma

Mandibule complète et traitement implantaire pour un bridge fixe scellé

Mandibule complète et traitement implantaire pour un bridge fixe scellé

Comblement de sinus par voie latérale (sinus lift) avec implantation différée

Comblement de sinus par voie latérale (sinus lift) avec implantation différée

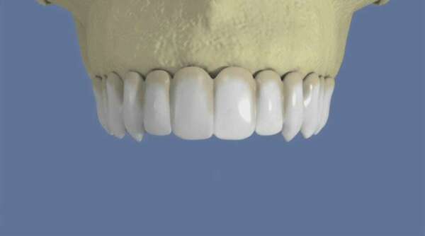
Maxillaire : bridge vissé sans fausse gencive

Maxillaire : bridge vissé sans fausse gencive

Le traitement non chirurgical de la parodontite

Le traitement non chirurgical de la parodontite

Le cas spécifique de la luxation de la mâchoire

Le cas spécifique de la luxation de la mâchoire

Affichage des articles 31-36 sur 121

Création par Webdentiste

Connexion