Cabinet des Docteurs Loïc CALVO, Paul GAMBINI et Baptiste BONAMY
Parodontologie exclusive - Implantologie et Maintenance implantaire
+33 5 32 09 76 76
14 Avenue José Cabanis - Bâtiment Odyssée, 31130 QUINT-FONSEGRIVES
Cabinet des Docteurs Loïc CALVO, Paul GAMBINI et Baptiste BONAMY
Parodontologie exclusive - Implantologie et Maintenance implantaire

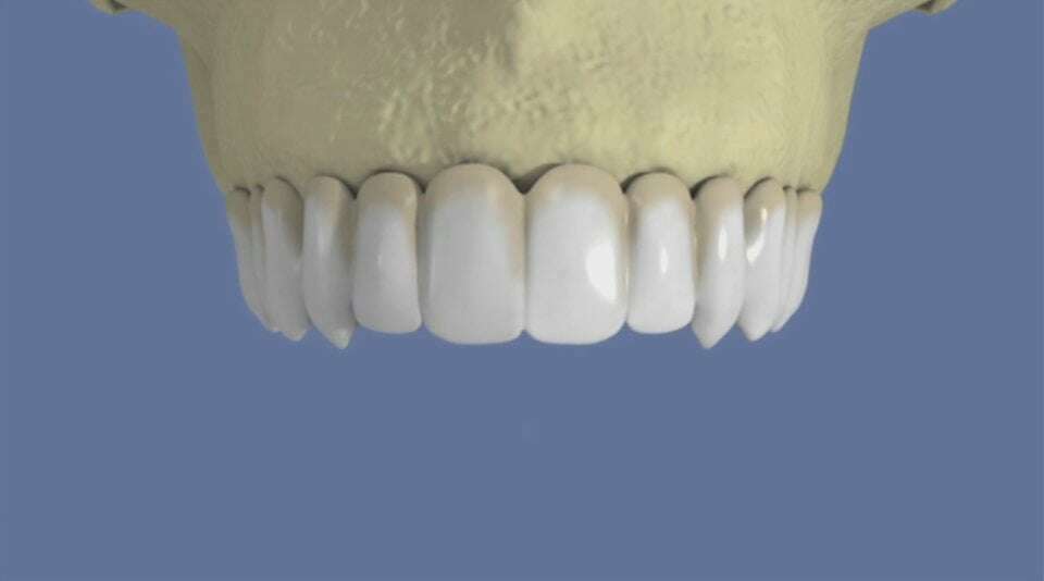
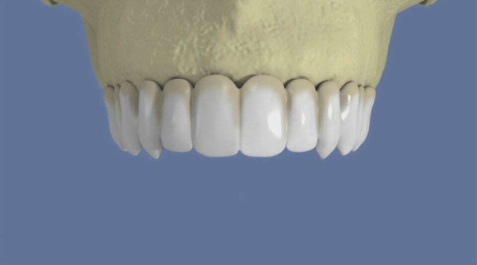
Maxillaire : bridge vissé sans fausse gencive


video-play-icon

Création par Webdentiste

Connexion